当院の犬猫の歯石取りの特徴

高倍率拡大鏡(10倍)

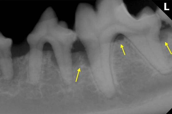
レントゲンと正確な歯科記録

歯ぐきの中の歯石

エルビニウムレーザー
常に拡大鏡を使用
歯石取り、所見を取ること、歯ぐきの中の歯石の有無、切開や縫合などの処置、すべての処置が正確で手早くなります。当院では基本的に10倍の拡大鏡で歯石取りと処置を行っています。歯石取りはあらゆる歯周病治療の土台となります。
レントゲンと正確な歯科記録
レントゲンとプロービングなどの歯科記録をとることで、除去すべき歯石の場所を確認できたり、治療後の状態のモニターができます。
歯ぐきの中の歯石
どこの歯ぐきの中に歯石があるのか、歯ぐきの中は見づらいので、拡大鏡を使っても容易ではありません。 もっとも神経を使うところですが、この処置が治療後の結果を左右します。
エルビニウムレーザー
歯周再生治療をする場合、確実に歯ぐきの中の歯石を取りたい場合、狭い場所でスケーラーが届かない場所、炎症性組織も除去したい場合などに使用。
SRPとは
SRP(スケーリング・ルートプレーニング)とは、歯ぐきの上に見えている部分の歯石の除去「スケーリング」と、歯ぐきの中で見えない部分を処置「ルートプレーニング」の二種類のことで、これら二つを合わせてSRPとよびます。歯周病治療の基本となる処置です。
レントゲンと正確な歯科記録
歯根の形態がもっとも単純な犬歯の歯根を例に説明します。以下の写真は、5.5倍拡大鏡相当の画像です。肉眼ですと細かい歯石は見えないので手探りと勘による処置になるのに対し、拡大鏡を使うことで歯石を目で見て確実に処置することができます。
※クリックで拡大します。
※タップすると拡大します。

ルートプレーニング前
たくさんの歯石が見える。 歯肉に空気を吹き付けると歯肉が開いてよく見える。

超音波スケーラーで歯石除去後
歯肉を広げると、まだわずかな歯石が見える。

次にキュレットで根面の平坦化
専用の歯科器具で歯ぐきの中をルートプレーニング。
手指の感覚で根面のでこぼこを確認して行う。

ルートプレーニング後
再度歯肉を広げると、歯根の歯石がなくなり、でこぼこもなくなっていることがわかる。
歯ぐきの中の歯石が取れた場合に得られる結果①
※クリックで拡大します。
※タップすると拡大します。

治療前
歯石だけではなく、赤黒く腫れた歯ぐきにも注目。

治療後
歯周病治療をして1か月後。歯ぐきの色に注目。
歯ぐきの中の歯石が取れた場合に得られる結果②
※クリックで拡大します。
※タップすると拡大します。

治療前
矢印の部分は、SRPの質が結果を大きく左右するため、エルビニウムレーザーを使用

治療後12か月
良質なSRP(スケーリング・ルートプレーニング)の結果、骨が再生された。
