院長ブログ(歯科)
歯冠歯根破折
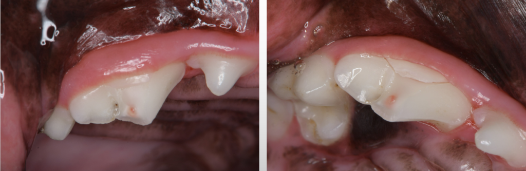
露髄を伴う歯冠歯根破折です。
抜髄して根管充填と、歯根破折の治療と歯冠の治療など、それなりに大変な治療です。
また、歯根破折は治療後に歯周炎になりやすいです。
このような治療でも単に修復するだけではなく、ケアしやすく安定した状態にしなければなりません。
治療前

治療中

治療後

【受付時間】9:00~12:00 / 16:00~19:00
※水曜、日祝休診。
露髄を伴う歯冠歯根破折です。
抜髄して根管充填と、歯根破折の治療と歯冠の治療など、それなりに大変な治療です。
また、歯根破折は治療後に歯周炎になりやすいです。
このような治療でも単に修復するだけではなく、ケアしやすく安定した状態にしなければなりません。
治療前

治療中

治療後
